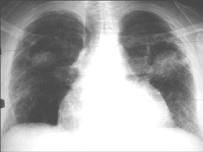
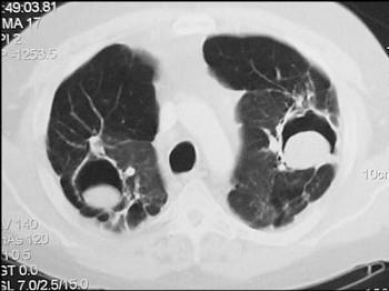
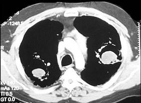
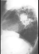
男,48岁,发热,咳嗽,咳痰,咯血,PPD(-),请结合图,最可能的诊断是 ( )A.肺癌B.肺曲菌病C.肺结核D.肺炎E...

作者: rantiku 人气: - 评论: 0
问题 男,48岁,发热,咳嗽,咳痰,咯血,PPD(-),请结合图,最可能的诊断是 ( )
选项 A.肺癌 B.肺曲菌病 C.肺结核 D.肺炎 E.肺脓肿
答案 B
解析

猜你喜欢

发表评论
更多 网友评论0 条评论)
暂无评论

访问排行

Copyright © 2012-2014 恰考网 Inc. 保留所有权利。 Powered by tikuer.com

页面耗时0.0319秒, 内存占用1.03 MB, Cache:redis,访问数据库20次