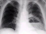
男,36岁,胸痛半月伴发高热,胸片发现占位性病变,CT检查如图,最可能的诊断为 ( )A.左下肺肺脓肿B.左下肺癌并空洞形成C.左侧胸...

作者: rantiku 人气: - 评论: 0
问题 男,36岁,胸痛半月伴发高热,胸片发现占位性病变,CT检查如图,最可能的诊断为 ( )
选项 A.左下肺肺脓肿 B.左下肺癌并空洞形成 C.左侧胸腔积脓 D.左下肺囊肿 E.左下肺肺炎
答案 A
解析

猜你喜欢

发表评论
更多 网友评论0 条评论)
暂无评论

访问排行

Copyright © 2012-2014 恰考网 Inc. 保留所有权利。 Powered by tikuer.com

页面耗时0.0312秒, 内存占用1.03 MB, Cache:redis,访问数据库19次