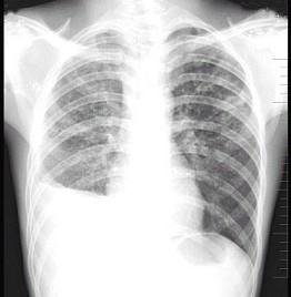
男性患者,20岁,胸闷、低热1个月余,突然咯血,X线检查如图,最合理的诊断是 ( )A.肺结核(Ⅰ型)伴右侧胸腔积液B.肺结核(Ⅲ型)伴右侧胸腔积...

作者: rantiku 人气: - 评论: 0
问题 男性患者,20岁,胸闷、低热1个月余,突然咯血,X线检查如图,最合理的诊断是 ( )
选项 A.肺结核(Ⅰ型)伴右侧胸腔积液 B.肺结核(Ⅲ型)伴右侧胸腔积液 C.肺结核(Ⅱ型)伴右侧肺不张 D.肺结核(Ⅲ型)伴右侧肺不张 E.肺癌
答案 B
解析

猜你喜欢

发表评论
更多 网友评论0 条评论)
暂无评论

访问排行

Copyright © 2012-2014 恰考网 Inc. 保留所有权利。 Powered by tikuer.com

页面耗时0.0790秒, 内存占用1.03 MB, Cache:redis,访问数据库20次