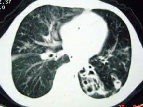
男,12岁,反复咳嗽咳痰多年,CT如图3,最可能的诊断为 ( )A.先天性支气管囊肿B.肺结核C.肺发育不全D.肺隔离症E.肺脓肿

作者: rantiku 人气: - 评论: 0
问题 男,12岁,反复咳嗽咳痰多年,CT如图3,最可能的诊断为 ( )
选项 A.先天性支气管囊肿 B.肺结核 C.肺发育不全 D.肺隔离症 E.肺脓肿
答案 A
解析

猜你喜欢

发表评论
更多 网友评论0 条评论)
暂无评论

访问排行

Copyright © 2012-2014 恰考网 Inc. 保留所有权利。 Powered by tikuer.com

页面耗时0.0341秒, 内存占用1.03 MB, Cache:redis,访问数据库19次