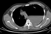
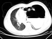
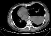
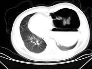
女,6岁,胸闷,咳嗽,胸部CT如图,最可能的诊断为 ( )A.畸胎瘤B.右侧液气胸C.右肺肺大疱D.右侧脓胸E.支气管囊肿并感染
相关内容:胸闷,胸部,如图,可能,诊断,畸胎,气胸,右肺,肺大,脓胸,支气管,囊肿
猜你喜欢
- 行政单位的支出不包括( )。A.经常性支出B.专项支出C.自筹基本建设支出D.经营支出
- 患者,男,70岁,1天前因股骨颈骨折住院,今日 突发呼吸困难,大汗,既往体健。查体:T36.5℃, BP 90/60mmHg,无颈静脉怒张,双肺呼吸音清,...
- 仪表焊接阀门采用直接焊接方式,其目的是( )。A.保证仪表测量精度 B.防渗漏 C.拆卸方便 D.防堵塞
- 女,30岁。被人刺伤颈部。查体:患者除颈部伤口血肿外,还有声音嘶哑,可能存在的诊断是A.膈神经损伤B.食管损伤C.喉返神经损伤D.副神经损伤
...
- 验算导体的短路电流应按()计算。A.可能发生最大短路电流的正常接线方式,
B.除计算短路电流的衰减时间常数和低压网络的短路电流外,元件的电阻都略去不计;...
- 女,30岁,孕3产2,人流后6个月,五月经来潮,子宫大小正常,用雌孕激素序贯疗法治疗无撤退性出血,最大可能是A.卵巢性闭经B.子宫性闭经C.垂体性...
- A.结肠癌B.肠结核C.肝癌D.胃溃疡E.克罗恩氏病CEA曾加()配伍选择题题:是一组试题(2至5个)公用一组A、B、C、D、E五个备...
- 治疗大肠癌湿热郁毒证的代表方是A.知柏地黄丸
B.槐角丸
C.大补元煎
D.膈下逐瘀汤
E.葛根芩连汤
- 学生小涛经常旷课,不遵守学校的管理制度,学校对小涛进行教育的恰当方式是( )。A、将他交给家长批评教育
B、了解情况后耐心教育他
C、等待他自我醒悟...
- 大气中的氟化氢主要来自下列哪些工厂?()A.火力发电厂,钢铁厂,冰晶石工厂,焦化厂B.焦化厂,有色金属冶炼厂,铝厂,氮肥厂C.铝厂,磷肥厂,冰晶石...