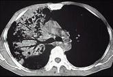
男,30岁,咳嗽咯血,盗汗1个月,伴消瘦无力发热,CT如图,应考虑为 ( )A.右上肺大叶性肺炎B.右上肺干酪性肺炎C.右侧脓胸 ...

作者: rantiku 人气: - 评论: 0
问题 男,30岁,咳嗽咯血,盗汗1个月,伴消瘦无力发热,CT如图,应考虑为 ( )
选项 A.右上肺大叶性肺炎 B.右上肺干酪性肺炎 C.右侧脓胸 D.右上肺多发肺脓肿 E.右上肺不张
答案 B
解析

猜你喜欢

发表评论
更多 网友评论0 条评论)
暂无评论

访问排行

Copyright © 2012-2014 恰考网 Inc. 保留所有权利。 Powered by tikuer.com

页面耗时0.0385秒, 内存占用1.03 MB, Cache:redis,访问数据库20次