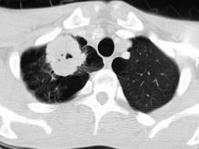
42岁,男,嗜烟酒,近1周咳嗽、咯血,请结合CT检查选择最可能的诊断 ( )A.肺结核B.肺癌C.肺曲菌病D.韦格肉芽肿E.肺错构瘤

作者: rantiku 人气: - 评论: 0
问题 42岁,男,嗜烟酒,近1周咳嗽、咯血,请结合CT检查选择最可能的诊断 ( )
选项 A.肺结核 B.肺癌 C.肺曲菌病 D.韦格肉芽肿 E.肺错构瘤
答案 A
解析

猜你喜欢

发表评论
更多 网友评论0 条评论)
暂无评论

访问排行

Copyright © 2012-2014 恰考网 Inc. 保留所有权利。 Powered by tikuer.com

页面耗时0.0307秒, 内存占用1.03 MB, Cache:redis,访问数据库17次