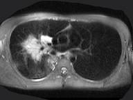
男,28岁,咳嗽,咯血,消瘦盗汗1个月余,影像学检查如图。最可能的诊断为 ( )A.类风湿肺炎B.右上肺周围型肺癌C.右上肺浸润型肺结...

作者: rantiku 人气: - 评论: 0
问题 男,28岁,咳嗽,咯血,消瘦盗汗1个月余,影像学检查如图。最可能的诊断为 ( )
选项 A.类风湿肺炎 B.右上肺周围型肺癌 C.右上肺浸润型肺结核 D.右上肺炎性假瘤 E.右上肺曲真菌感染
答案 C
解析

猜你喜欢

发表评论
更多 网友评论0 条评论)
暂无评论

访问排行

Copyright © 2012-2014 恰考网 Inc. 保留所有权利。 Powered by tikuer.com

页面耗时0.0442秒, 内存占用1.03 MB, Cache:redis,访问数据库20次