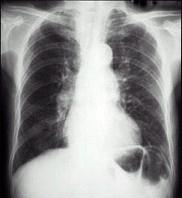
老年男性,咳嗽、咳痰20余年,活动后气促10年。体检:桶状胸,两肺可闻及干、湿啰音,P亢进。心电图VV呈QS波,RV+SV=1.5 mV。胸片见图,因诊断...

作者: rantiku 人气: - 评论: 0
问题 老年男性,咳嗽、咳痰20余年,活动后气促10年。体检:桶状胸,两肺可闻及干、湿啰音,P亢进。心电图VV呈QS波,RV+SV=1.5 mV。胸片见图,因诊断为 ( )
选项 A.慢性阻塞性肺疾病急性发作 B.慢性阻塞性肺疾病 C.慢性阻塞性肺疾病、高血压性心脏病 D.慢性阻塞性肺疾病、慢性肺源性心脏病 E.慢性阻塞性肺疾病、心肌梗死
答案 D
解析

猜你喜欢

发表评论
更多 网友评论0 条评论)
暂无评论

访问排行

Copyright © 2012-2014 恰考网 Inc. 保留所有权利。 Powered by tikuer.com

页面耗时0.0824秒, 内存占用1.03 MB, Cache:redis,访问数据库20次