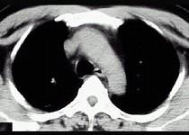
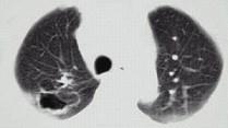
21岁,近2个月来咳嗽,痰中带血丝,午后手心足底发热,盗汗、心悸,胸部CT见图,最可能的诊断是 ( )A.右上肺癌性空洞形成B.继发性肺结核空...

作者: rantiku 人气: - 评论: 0
问题 21岁,近2个月来咳嗽,痰中带血丝,午后手心足底发热,盗汗、心悸,胸部CT见图,最可能的诊断是 ( )
选项 A.右上肺癌性空洞形成 B.继发性肺结核空洞形成 C.右肺脓肿 D.右上肺炎 E.肺囊肿
答案 B
解析

猜你喜欢

发表评论
更多 网友评论0 条评论)
暂无评论

访问排行

Copyright © 2012-2014 恰考网 Inc. 保留所有权利。 Powered by tikuer.com

页面耗时0.0429秒, 内存占用1.03 MB, Cache:redis,访问数据库18次