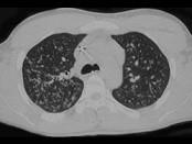
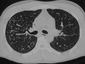
男,26岁,发热,夜间盗汗,咳嗽半月余,请结合CT检查选出最可能的诊断 ( )A.粟粒型肺结核B.间质性肺炎C.弥漫型肺癌D.肺转移瘤...

作者: rantiku 人气: - 评论: 0
问题 男,26岁,发热,夜间盗汗,咳嗽半月余,请结合CT检查选出最可能的诊断 ( )
选项 A.粟粒型肺结核 B.间质性肺炎 C.弥漫型肺癌 D.肺转移瘤 E.硅沉着病
答案 A
解析

猜你喜欢

发表评论
更多 网友评论0 条评论)
暂无评论

访问排行

Copyright © 2012-2014 恰考网 Inc. 保留所有权利。 Powered by tikuer.com

页面耗时0.0388秒, 内存占用1.02 MB, Cache:redis,访问数据库13次