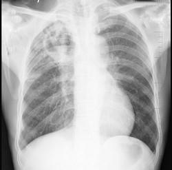
男性,63岁,咳嗽、发热1个月,消瘦、乏力明显,既往有肺结核史,X 线检查如图,最合理的诊断是 ( )A.右肺炎B.右肺结核Ⅲ型C.右肺结...

作者: rantiku 人气: - 评论: 0
问题 男性,63岁,咳嗽、发热1个月,消瘦、乏力明显,既往有肺结核史,X 线检查如图,最合理的诊断是 ( )
选项 A.右肺炎 B.右肺结核Ⅲ型 C.右肺结核Ⅳ型 D.右肺脓肿 E.右间质性肺炎
答案 B
解析

猜你喜欢

发表评论
更多 网友评论0 条评论)
暂无评论

访问排行

Copyright © 2012-2014 恰考网 Inc. 保留所有权利。 Powered by tikuer.com

页面耗时0.0371秒, 内存占用1.03 MB, Cache:redis,访问数据库18次