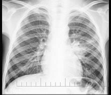
3岁男孩,咳嗽、低热2周,不咯血、咳痰,X线检查如图,最可能的诊断是 ( )A.左肺炎症B.左肺结核(Ⅰ型)C.左肺结核(Ⅱ型)D.左肺结...

作者: rantiku 人气: - 评论: 0
问题 3岁男孩,咳嗽、低热2周,不咯血、咳痰,X线检查如图,最可能的诊断是 ( )
选项 A.左肺炎症 B.左肺结核(Ⅰ型) C.左肺结核(Ⅱ型) D.左肺结核(Ⅲ型) E.左肺癌
答案 B
解析

猜你喜欢

发表评论
更多 网友评论0 条评论)
暂无评论

访问排行

Copyright © 2012-2014 恰考网 Inc. 保留所有权利。 Powered by tikuer.com

页面耗时0.0627秒, 内存占用1.03 MB, Cache:redis,访问数据库20次