男性,19岁,劳累后出现持续高热,体温39℃,无寒战,干咳、无痰,伴乏力、食欲减退,无呼吸困难,查体无阳性体征。血常规WBC:7.9×10/L,N 65%...

作者: rantiku 人气: - 评论: 0
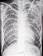
问题 男性,19岁,劳累后出现持续高热,体温39℃,无寒战,干咳、无痰,伴乏力、食欲减退,无呼吸困难,查体无阳性体征。血常规WBC:7.9×10/L,N 65%,血沉70mm/h,给予头孢呋辛及阿昔洛韦抗炎及抗病毒治疗10天无效。胸片见图。最有可能的诊断是 ( )
选项 A.急性肺脓肿 B.败血症 C.肺炎 D.伤寒 E.急性血行播散型肺结核
答案 E
解析

猜你喜欢

发表评论
更多 网友评论0 条评论)
暂无评论

访问排行

Copyright © 2012-2014 恰考网 Inc. 保留所有权利。 Powered by tikuer.com

页面耗时0.0809秒, 内存占用1.03 MB, Cache:redis,访问数据库19次