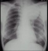
女,25岁,胸背痛2周,胸片如图,最可能的诊断为 ( )A.左上肺不张B.左上肺炎C.纵隔肿瘤D.左上肺癌E.左上肺炎性假瘤

作者: rantiku 人气: - 评论: 0
问题 女,25岁,胸背痛2周,胸片如图,最可能的诊断为 ( )
选项 A.左上肺不张 B.左上肺炎 C.纵隔肿瘤 D.左上肺癌 E.左上肺炎性假瘤
答案 C
解析

猜你喜欢

发表评论
更多 网友评论0 条评论)
暂无评论

访问排行

Copyright © 2012-2014 恰考网 Inc. 保留所有权利。 Powered by tikuer.com

页面耗时0.0376秒, 内存占用1.03 MB, Cache:redis,访问数据库19次