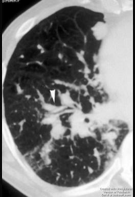
62岁,女,咳嗽胸闷咯血1天,1年前行宫颈癌手术,请结合CT检查图,选出最可能的诊断 ( )A.错构瘤B.肺转移瘤C.结节病D.淋巴结核 ...

作者: rantiku 人气: - 评论: 0
问题 62岁,女,咳嗽胸闷咯血1天,1年前行宫颈癌手术,请结合CT检查图,选出最可能的诊断 ( )
选项 A.错构瘤 B.肺转移瘤 C.结节病 D.淋巴结核 E.真菌病
答案 B
解析

猜你喜欢

发表评论
更多 网友评论0 条评论)
暂无评论

访问排行

Copyright © 2012-2014 恰考网 Inc. 保留所有权利。 Powered by tikuer.com

页面耗时0.0355秒, 内存占用1.03 MB, Cache:redis,访问数据库16次