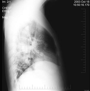
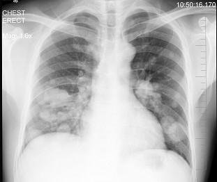
男性,43岁,胸闷、胸痛10余天,不咳嗽不发热,X线检查如图,最合理的诊断是 ( )A.原发性肺癌B.肺转移瘤C.炎性假瘤D.结核瘤 ...

作者: rantiku 人气: - 评论: 0
问题 男性,43岁,胸闷、胸痛10余天,不咳嗽不发热,X线检查如图,最合理的诊断是 ( )
选项 A.原发性肺癌 B.肺转移瘤 C.炎性假瘤 D.结核瘤 E.支气管扩张
答案 B
解析

猜你喜欢

发表评论
更多 网友评论0 条评论)
暂无评论

访问排行

Copyright © 2012-2014 恰考网 Inc. 保留所有权利。 Powered by tikuer.com

页面耗时0.0396秒, 内存占用1.02 MB, Cache:redis,访问数据库13次