女性,53岁,胸闷乏力数月,偶感胸痛,不发热,X线检查如图,最可能的诊断是 ( )A.原发性肺癌B.亚急性血行播散型肺结核C.肺转移瘤...

作者: rantiku 人气: - 评论: 0
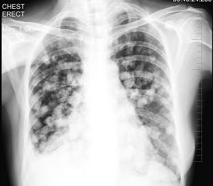
问题 女性,53岁,胸闷乏力数月,偶感胸痛,不发热,X线检查如图,最可能的诊断是 ( )
选项 A.原发性肺癌 B.亚急性血行播散型肺结核 C.肺转移瘤 D.细支气管肺泡癌 E.胸腔积液
答案 C
解析

猜你喜欢

发表评论
更多 网友评论0 条评论)
暂无评论

访问排行

Copyright © 2012-2014 恰考网 Inc. 保留所有权利。 Powered by tikuer.com

页面耗时0.0373秒, 内存占用1.03 MB, Cache:redis,访问数据库19次