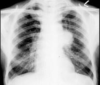
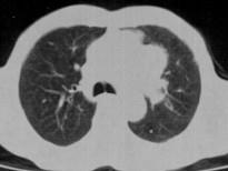
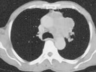
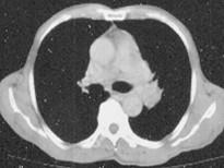
60岁,男,有长期抽烟史,左声带麻痹、声音嘶哑2个月,请结合胸片和CT图,选出最可能的诊断 ( )A.肺癌B.肺结核C.尘肺D...

作者: rantiku 人气: - 评论: 0
问题 60岁,男,有长期抽烟史,左声带麻痹、声音嘶哑2个月,请结合胸片和CT图,选出最可能的诊断 ( )
选项 A.肺癌 B.肺结核 C.尘肺 D.肺炎 E.肺结节病
答案 A
解析

猜你喜欢

发表评论
更多 网友评论0 条评论)
暂无评论

访问排行

Copyright © 2012-2014 恰考网 Inc. 保留所有权利。 Powered by tikuer.com

页面耗时0.0385秒, 内存占用1.03 MB, Cache:redis,访问数据库20次