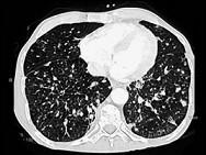
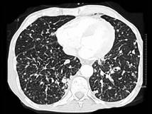
女,56岁,乳腺癌手术后,未行化疗,结合CT图像,选择最可能的诊断是 ( )A.肺转移癌B.肺结核C.间质性肺炎D.肺结节病E.肺曲菌病

作者: rantiku 人气: - 评论: 0
问题 女,56岁,乳腺癌手术后,未行化疗,结合CT图像,选择最可能的诊断是 ( )
选项 A.肺转移癌 B.肺结核 C.间质性肺炎 D.肺结节病 E.肺曲菌病
答案 A
解析

猜你喜欢

发表评论
更多 网友评论0 条评论)
暂无评论

访问排行

Copyright © 2012-2014 恰考网 Inc. 保留所有权利。 Powered by tikuer.com

页面耗时0.0315秒, 内存占用1.03 MB, Cache:redis,访问数据库19次