男性,42岁,近2年来无明显诱因反复出现咳嗽,痰少,活动后气促,无发热,无胸痛,无咯血,心电图及心脏彩超未见异常,肺功能FEV1.901,FVC2.001...

作者: rantiku 人气: - 评论: 0
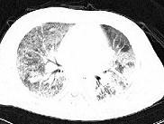
问题 男性,42岁,近2年来无明显诱因反复出现咳嗽,痰少,活动后气促,无发热,无胸痛,无咯血,心电图及心脏彩超未见异常,肺功能FEV1.901,FVC2.001,DLco下降,支气管激发试验阴性。胸部CT见图,该患者最有可能是下列哪一种疾病 ( )
选项 A.支气管哮喘 B.慢性阻塞性肺疾病 C.支气管扩张 D.支气管肺癌 E.特发性间质性肺炎
答案 E
解析

猜你喜欢

发表评论
更多 网友评论0 条评论)
暂无评论

访问排行

Copyright © 2012-2014 恰考网 Inc. 保留所有权利。 Powered by tikuer.com

页面耗时0.0299秒, 内存占用1.03 MB, Cache:redis,访问数据库19次