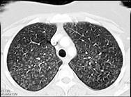
男性,50岁,反复干咳、进行性气促2个月,加重5天。无发热,无咯血,抗感染治疗效果欠佳。胸部CT见图。支气管肺泡灌洗液PAS染色阳性。最有效的治疗是 ( ...

作者: rantiku 人气: - 评论: 0
问题 男性,50岁,反复干咳、进行性气促2个月,加重5天。无发热,无咯血,抗感染治疗效果欠佳。胸部CT见图。支气管肺泡灌洗液PAS染色阳性。最有效的治疗是 ( )
选项 A.抗肿瘤治疗 B.糖皮质激素 C.抗生素 D.支气管肺泡灌洗 E.抗心衰治疗
答案 D
解析

猜你喜欢

发表评论
更多 网友评论0 条评论)
暂无评论

访问排行

Copyright © 2012-2014 恰考网 Inc. 保留所有权利。 Powered by tikuer.com

页面耗时0.0285秒, 内存占用1.03 MB, Cache:redis,访问数据库19次