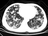
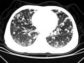
男,42岁,肝区痛1月余,最近2周咯血丝痰,胸部CT如图,最可能的诊断为 ( )A.葡萄球菌肺炎B.过敏性肺炎C.结节病D.肺转移瘤 ...

作者: rantiku 人气: - 评论: 0
问题 男,42岁,肝区痛1月余,最近2周咯血丝痰,胸部CT如图,最可能的诊断为 ( )
选项 A.葡萄球菌肺炎 B.过敏性肺炎 C.结节病 D.肺转移瘤 E.韦格肉芽肿
答案 D
解析

猜你喜欢

发表评论
更多 网友评论0 条评论)
暂无评论

访问排行

Copyright © 2012-2014 恰考网 Inc. 保留所有权利。 Powered by tikuer.com

页面耗时0.0399秒, 内存占用1.03 MB, Cache:redis,访问数据库15次