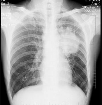
女性,51岁,胸痛数月,痰血2天,X线检查见图,最可能的诊断是 ( )A.左肺癌B.左侧炎性假瘤C.左侧纵隔肿瘤D.左肺转移瘤E....

作者: rantiku 人气: - 评论: 0
问题 女性,51岁,胸痛数月,痰血2天,X线检查见图,最可能的诊断是 ( )
选项 A.左肺癌 B.左侧炎性假瘤 C.左侧纵隔肿瘤 D.左肺转移瘤 E.支气管扩张
答案 A
解析

猜你喜欢

发表评论
更多 网友评论0 条评论)
暂无评论

访问排行

Copyright © 2012-2014 恰考网 Inc. 保留所有权利。 Powered by tikuer.com

页面耗时0.0348秒, 内存占用1.03 MB, Cache:redis,访问数据库19次