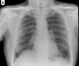
62岁,男,铸铁工,咳嗽、呼吸急促1个月,请结合胸片,选出最可能的诊断 ( )A.粟粒性肺结核B.肺结节病C.尘肺D.肺炎E.肺淤血

作者: rantiku 人气: - 评论: 0
问题 62岁,男,铸铁工,咳嗽、呼吸急促1个月,请结合胸片,选出最可能的诊断 ( )
选项 A.粟粒性肺结核 B.肺结节病 C.尘肺 D.肺炎 E.肺淤血
答案 C
解析

猜你喜欢

发表评论
更多 网友评论0 条评论)
暂无评论

访问排行

Copyright © 2012-2014 恰考网 Inc. 保留所有权利。 Powered by tikuer.com

页面耗时0.0386秒, 内存占用1.03 MB, Cache:redis,访问数据库20次