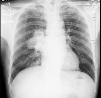
男性,61岁,痰中带血就诊,X线检查如图,最可能的诊断是 ( )A.结节病B.右肺癌C.右肺淋巴结肿大D.肺转移瘤E.支气管扩张

作者: rantiku 人气: - 评论: 0
问题 男性,61岁,痰中带血就诊,X线检查如图,最可能的诊断是 ( )
选项 A.结节病 B.右肺癌 C.右肺淋巴结肿大 D.肺转移瘤 E.支气管扩张
答案 B
解析

猜你喜欢

发表评论
更多 网友评论0 条评论)
暂无评论

访问排行

Copyright © 2012-2014 恰考网 Inc. 保留所有权利。 Powered by tikuer.com

页面耗时0.0453秒, 内存占用1.03 MB, Cache:redis,访问数据库20次