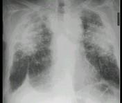
男,52岁,从事矿井工作32年,近几年出现气喘,呼吸困难,X光片如图,其最可能的诊断为 ( )A.双肺浸润性结核B.双肺真菌感染C.两肺弥漫性...

作者: rantiku 人气: - 评论: 0
问题 男,52岁,从事矿井工作32年,近几年出现气喘,呼吸困难,X光片如图,其最可能的诊断为 ( )
选项 A.双肺浸润性结核 B.双肺真菌感染 C.两肺弥漫性间质性肺炎 D.两肺弥漫性纤维化 E.硅沉着病病
答案 E
解析

猜你喜欢

发表评论
更多 网友评论0 条评论)
暂无评论

访问排行

Copyright © 2012-2014 恰考网 Inc. 保留所有权利。 Powered by tikuer.com

页面耗时0.0334秒, 内存占用1.03 MB, Cache:redis,访问数据库18次