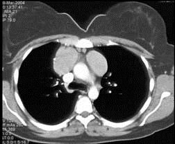
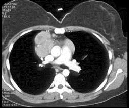
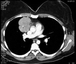
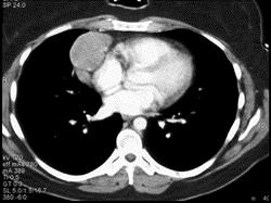
女,27岁,双侧颈部淋巴结肿大,PPD(-),请结合CT图像,选择最可能的诊断 ( )A.心包囊肿B.淋巴瘤C.淋巴结核D.转...

作者: rantiku 人气: - 评论: 0
问题 女,27岁,双侧颈部淋巴结肿大,PPD(-),请结合CT图像,选择最可能的诊断 ( )
选项 A.心包囊肿 B.淋巴瘤 C.淋巴结核 D.转移性淋巴结肿大 E.结节病
答案 B
解析

猜你喜欢

发表评论
更多 网友评论0 条评论)
暂无评论

访问排行

Copyright © 2012-2014 恰考网 Inc. 保留所有权利。 Powered by tikuer.com

页面耗时0.0591秒, 内存占用1.03 MB, Cache:redis,访问数据库19次