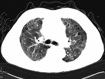
男,68岁,咳嗽,气喘10年,桶状胸,CT如图,最可能的诊断为 ( )A.双肺结核B.慢性支气管炎C.支气管扩张D.肺间质性病变E...

作者: rantiku 人气: - 评论: 0
问题 男,68岁,咳嗽,气喘10年,桶状胸,CT如图,最可能的诊断为 ( )
选项 A.双肺结核 B.慢性支气管炎 C.支气管扩张 D.肺间质性病变 E.支气管囊肿
答案 D
解析

猜你喜欢

发表评论
更多 网友评论0 条评论)
暂无评论

访问排行

Copyright © 2012-2014 恰考网 Inc. 保留所有权利。 Powered by tikuer.com

页面耗时0.0629秒, 内存占用1.03 MB, Cache:redis,访问数据库19次