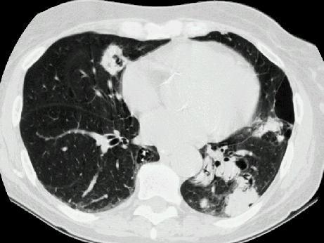
多发性骨髓瘤患者出现咳嗽,咳痰,气急,胸片检查发现病变后行CT检查如图,最可能的诊断为 ( )A.肺部感染B.两肺结核C.骨髓瘤转移肺部 ...

作者: rantiku 人气: - 评论: 0
问题 多发性骨髓瘤患者出现咳嗽,咳痰,气急,胸片检查发现病变后行CT检查如图,最可能的诊断为 ( )
选项 A.肺部感染 B.两肺结核 C.骨髓瘤转移肺部 D.肺淀粉样变性 E.肺转移瘤
答案 D
解析

猜你喜欢

发表评论
更多 网友评论0 条评论)
暂无评论

访问排行

Copyright © 2012-2014 恰考网 Inc. 保留所有权利。 Powered by tikuer.com

页面耗时0.0425秒, 内存占用1.03 MB, Cache:redis,访问数据库20次