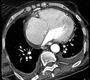
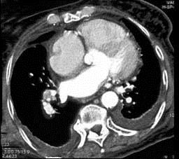
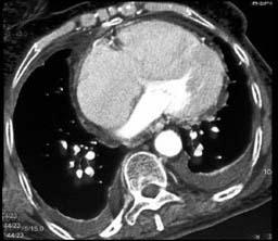
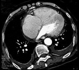
男,38岁,反复咳嗽、咳痰伴发热15年余,痰结核菌素试验(—),结合CT图像,最可能的诊断是 ( )A.肺癌B.肺结核C.肺结节病...

作者: rantiku 人气: - 评论: 0
问题 男,38岁,反复咳嗽、咳痰伴发热15年余,痰结核菌素试验(—),结合CT图像,最可能的诊断是 ( )
选项 A.肺癌 B.肺结核 C.肺结节病 D.肺转移瘤 E.肺淀粉样变性
答案 E
解析

猜你喜欢

发表评论
更多 网友评论0 条评论)
暂无评论

访问排行

Copyright © 2012-2014 恰考网 Inc. 保留所有权利。 Powered by tikuer.com

页面耗时0.0331秒, 内存占用1.03 MB, Cache:redis,访问数据库17次