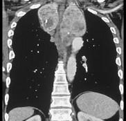
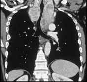
男,33岁,颈部包块半年余,可随吞咽上下移动,请结合影像学检查,选出最可能的诊断 ( )A.胸腺瘤B.淋巴瘤C.纵隔畸胎瘤D.淋巴管瘤...

作者: rantiku 人气: - 评论: 0
问题 男,33岁,颈部包块半年余,可随吞咽上下移动,请结合影像学检查,选出最可能的诊断 ( )
选项 A.胸腺瘤 B.淋巴瘤 C.纵隔畸胎瘤 D.淋巴管瘤 E.胸骨后甲状腺肿
答案 E
解析

猜你喜欢

发表评论
更多 网友评论0 条评论)
暂无评论

访问排行

Copyright © 2012-2014 恰考网 Inc. 保留所有权利。 Powered by tikuer.com

页面耗时0.0307秒, 内存占用1.03 MB, Cache:redis,访问数据库18次