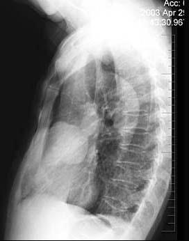
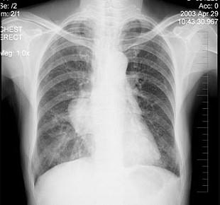
女性,57岁,因胸痛,咳嗽1个月就诊,不发热,咳白色痰,无痰中带血,X线检查见图,最可能的诊断是 ( )A.右侧肺不张B.右肺炎症C.纵隔...

作者: rantiku 人气: - 评论: 0
问题 女性,57岁,因胸痛,咳嗽1个月就诊,不发热,咳白色痰,无痰中带血,X线检查见图,最可能的诊断是 ( )
选项 A.右侧肺不张 B.右肺炎症 C.纵隔肿瘤 D.右肺肿瘤 E.间质性肺疾病
答案 D
解析

猜你喜欢

发表评论
更多 网友评论0 条评论)
暂无评论

访问排行

Copyright © 2012-2014 恰考网 Inc. 保留所有权利。 Powered by tikuer.com

页面耗时0.0665秒, 内存占用1.03 MB, Cache:redis,访问数据库20次