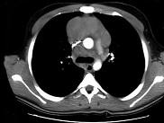
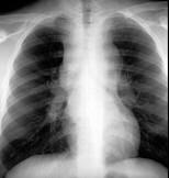
21岁,男,1个月前触及颈部淋巴结肿大,现有上腔静脉综合征,请结合胸片和CT,选出最可能的诊断 ( )A.结节病B.淋巴结核C.转移性淋巴...

作者: rantiku 人气: - 评论: 0
问题 21岁,男,1个月前触及颈部淋巴结肿大,现有上腔静脉综合征,请结合胸片和CT,选出最可能的诊断 ( )
选项 A.结节病 B.淋巴结核 C.转移性淋巴结肿大 D.淋巴瘤 E.胸腺瘤
答案 D
解析

猜你喜欢

发表评论
更多 网友评论0 条评论)
暂无评论

访问排行

Copyright © 2012-2014 恰考网 Inc. 保留所有权利。 Powered by tikuer.com

页面耗时0.0600秒, 内存占用1.03 MB, Cache:redis,访问数据库20次