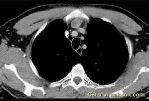
女,45岁,抑郁嗜睡1个月,实验室检查血钙3mml/L,CT图像如图,最可能的诊断为 ( )A.正常B.用存上腔静脉干C.胸内甲状旁腺瘤D...

作者: rantiku 人气: - 评论: 0
问题 女,45岁,抑郁嗜睡1个月,实验室检查血钙3mml/L,CT图像如图,最可能的诊断为 ( )
选项 A.正常 B.用存上腔静脉干 C.胸内甲状旁腺瘤 D.胸内甲状腺瘤 E.囊性胸腺瘤
答案 C
解析

猜你喜欢

发表评论
更多 网友评论0 条评论)
暂无评论

访问排行

Copyright © 2012-2014 恰考网 Inc. 保留所有权利。 Powered by tikuer.com

页面耗时0.0446秒, 内存占用1.03 MB, Cache:redis,访问数据库20次