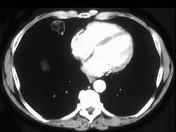
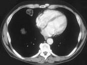
男,57岁,体检时发现肺部占位,CT检查如图,请选出最可能的诊断 ( )A.肺错构瘤B.周围型肺癌C.肺结核D.肺转移瘤E.肺曲菌病

作者: rantiku 人气: - 评论: 0
问题 男,57岁,体检时发现肺部占位,CT检查如图,请选出最可能的诊断 ( )
选项 A.肺错构瘤 B.周围型肺癌 C.肺结核 D.肺转移瘤 E.肺曲菌病
答案 A
解析

猜你喜欢

发表评论
更多 网友评论0 条评论)
暂无评论

访问排行

Copyright © 2012-2014 恰考网 Inc. 保留所有权利。 Powered by tikuer.com

页面耗时0.0405秒, 内存占用1.03 MB, Cache:redis,访问数据库19次