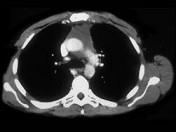
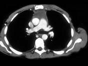
男,64岁,胸部隐痛伴眼睑下垂2月余,请结合影像学检查,选出最可能的诊断 ( )A.淋巴瘤B.胸腺瘤C.胸内甲状腺肿D.纵隔畸胎瘤...

作者: rantiku 人气: - 评论: 0
问题 男,64岁,胸部隐痛伴眼睑下垂2月余,请结合影像学检查,选出最可能的诊断 ( )
选项 A.淋巴瘤 B.胸腺瘤 C.胸内甲状腺肿 D.纵隔畸胎瘤 E.间皮囊肿
答案 B
解析

猜你喜欢

发表评论
更多 网友评论0 条评论)
暂无评论

访问排行

Copyright © 2012-2014 恰考网 Inc. 保留所有权利。 Powered by tikuer.com

页面耗时0.0397秒, 内存占用1.03 MB, Cache:redis,访问数据库19次