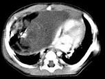
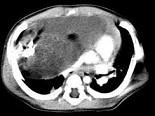
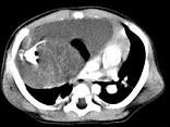
男,28岁,胸闷、右肺呼吸音减弱,请结合影像图像,选择最可能的诊断 ( )A.畸胎瘤B.胸腺瘤C.肺癌D.先天性囊性腺瘤样畸形...

作者: rantiku 人气: - 评论: 0
问题 男,28岁,胸闷、右肺呼吸音减弱,请结合影像图像,选择最可能的诊断 ( )
选项 A.畸胎瘤 B.胸腺瘤 C.肺癌 D.先天性囊性腺瘤样畸形 E.支气管囊肿
答案 A
解析

猜你喜欢

发表评论
更多 网友评论0 条评论)
暂无评论

访问排行

Copyright © 2012-2014 恰考网 Inc. 保留所有权利。 Powered by tikuer.com

页面耗时0.0446秒, 内存占用1.03 MB, Cache:redis,访问数据库19次