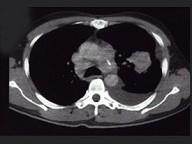
女,68岁,咳嗽伴胸痛胸闷1个月,CT检查如图,最可能的诊断为 ( )A.左上肺不张B.左上肺周围型肺癌伴胸膜转移C.左上肺血管瘤D....

作者: rantiku 人气: - 评论: 0
问题 女,68岁,咳嗽伴胸痛胸闷1个月,CT检查如图,最可能的诊断为 ( )
选项 A.左上肺不张 B.左上肺周围型肺癌伴胸膜转移 C.左上肺血管瘤 D.左上肺软骨肉瘤伴胸膜转移 E.左上肺结核
答案 B
解析

猜你喜欢

发表评论
更多 网友评论0 条评论)
暂无评论

访问排行

Copyright © 2012-2014 恰考网 Inc. 保留所有权利。 Powered by tikuer.com

页面耗时0.0486秒, 内存占用1.03 MB, Cache:redis,访问数据库19次