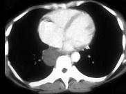
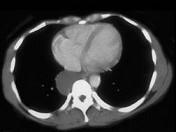
男,42岁,轻度咳嗽,胸部隐痛2月余,请结合CT检查,选出最可能的诊断 ( )A.食管囊肿B.淋巴管囊肿C.淋巴管瘤D.支气管囊肿...

作者: rantiku 人气: - 评论: 0
问题 男,42岁,轻度咳嗽,胸部隐痛2月余,请结合CT检查,选出最可能的诊断 ( )
选项 A.食管囊肿 B.淋巴管囊肿 C.淋巴管瘤 D.支气管囊肿 E.神经源性肿瘤
答案 D
解析

猜你喜欢

发表评论
更多 网友评论0 条评论)
暂无评论

访问排行

Copyright © 2012-2014 恰考网 Inc. 保留所有权利。 Powered by tikuer.com

页面耗时0.0376秒, 内存占用1.03 MB, Cache:redis,访问数据库15次