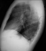
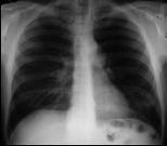
47岁,男,腹泻、体重下降,伴有重症肌无力,请结合胸片和CT图,选择最可能的诊断 ( )A.胸腺增生B.胸腺瘤C.淋巴瘤D.纵隔血...

作者: rantiku 人气: - 评论: 0
问题 47岁,男,腹泻、体重下降,伴有重症肌无力,请结合胸片和CT图,选择最可能的诊断 ( )
选项 A.胸腺增生 B.胸腺瘤 C.淋巴瘤 D.纵隔血肿 E.错构瘤
答案 B
解析

猜你喜欢

发表评论
更多 网友评论0 条评论)
暂无评论

访问排行

Copyright © 2012-2014 恰考网 Inc. 保留所有权利。 Powered by tikuer.com

页面耗时0.0395秒, 内存占用1.03 MB, Cache:redis,访问数据库20次