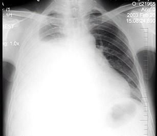
男性患者,38岁,感胸闷气逼2周,近来加剧,不发热。X线检查如图,最佳诊断是 ( )A.右侧肺不张B.右侧胸膜肥厚C.右侧大量胸腔积液D....

作者: rantiku 人气: - 评论: 0
问题 男性患者,38岁,感胸闷气逼2周,近来加剧,不发热。X线检查如图,最佳诊断是 ( )
选项 A.右侧肺不张 B.右侧胸膜肥厚 C.右侧大量胸腔积液 D.右侧中量胸腔积液 E.支气管扩张
答案 C
解析

猜你喜欢

发表评论
更多 网友评论0 条评论)
暂无评论

访问排行

Copyright © 2012-2014 恰考网 Inc. 保留所有权利。 Powered by tikuer.com

页面耗时0.0624秒, 内存占用1.03 MB, Cache:redis,访问数据库19次