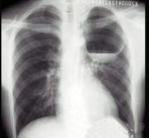
男,26岁,胸闷伴胸痛,胸片如图,最可能的诊断为 ( )A.左上肺空洞型结核B.左上肺脓肿C.左上肺液气囊肿D.左上肺包虫病E.韦格肉芽肿

作者: rantiku 人气: - 评论: 0
问题 男,26岁,胸闷伴胸痛,胸片如图,最可能的诊断为 ( )
选项 A.左上肺空洞型结核 B.左上肺脓肿 C.左上肺液气囊肿 D.左上肺包虫病 E.韦格肉芽肿
答案 C
解析

猜你喜欢

发表评论
更多 网友评论0 条评论)
暂无评论

访问排行

Copyright © 2012-2014 恰考网 Inc. 保留所有权利。 Powered by tikuer.com

页面耗时0.0342秒, 内存占用1.03 MB, Cache:redis,访问数据库17次