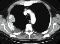
男,53岁,胸痛1月余加重2周,CT检查,最可能的诊断为 ( )A.右侧石棉肺胸膜斑B.右侧良性胸膜间皮瘤C.右侧恶性胸膜间皮瘤D.右侧胸...

作者: rantiku 人气: - 评论: 0
问题 男,53岁,胸痛1月余加重2周,CT检查,最可能的诊断为 ( )
选项 A.右侧石棉肺胸膜斑 B.右侧良性胸膜间皮瘤 C.右侧恶性胸膜间皮瘤 D.右侧胸膜转移瘤 E.右侧胸膜弥漫增厚
答案 C
解析

猜你喜欢

发表评论
更多 网友评论0 条评论)
暂无评论

访问排行

Copyright © 2012-2014 恰考网 Inc. 保留所有权利。 Powered by tikuer.com

页面耗时0.0327秒, 内存占用1.03 MB, Cache:redis,访问数据库18次