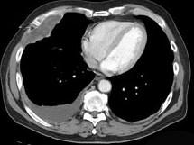
70岁,男,以前是管道安装工,有石棉接触史,也有很长的吸烟史,请结合CT检查选出最可能的诊断 ( )A.胸膜肥厚B.胸膜间皮瘤C.石棉肺D...

作者: rantiku 人气: - 评论: 0
问题 70岁,男,以前是管道安装工,有石棉接触史,也有很长的吸烟史,请结合CT检查选出最可能的诊断 ( )
选项 A.胸膜肥厚 B.胸膜间皮瘤 C.石棉肺 D.神经鞘瘤 E.淋巴瘤
答案 B
解析

猜你喜欢

发表评论
更多 网友评论0 条评论)
暂无评论

访问排行

Copyright © 2012-2014 恰考网 Inc. 保留所有权利。 Powered by tikuer.com

页面耗时0.0728秒, 内存占用1.03 MB, Cache:redis,访问数据库15次