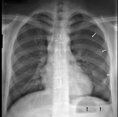
18岁,男,被人殴打后胸痛,请结合胸片选出最可能的诊断 ( )A.血气胸B.气胸C.胸腔积液D.肺气肿E.肺挫伤

作者: rantiku 人气: - 评论: 0
问题 18岁,男,被人殴打后胸痛,请结合胸片选出最可能的诊断 ( )
选项 A.血气胸 B.气胸 C.胸腔积液 D.肺气肿 E.肺挫伤
答案 A
解析

猜你喜欢

发表评论
更多 网友评论0 条评论)
暂无评论

访问排行

Copyright © 2012-2014 恰考网 Inc. 保留所有权利。 Powered by tikuer.com

页面耗时0.0523秒, 内存占用1.03 MB, Cache:redis,访问数据库18次