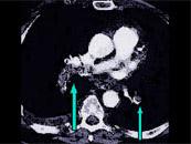
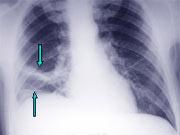
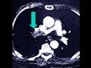
该病人突发胸部疼痛,进行性呼吸困难,行X线片检查,提示右下肺病变,急诊CT平扫加增强,如图所示,则 ( )A.X线片示右下肺实变影B....

作者: rantiku 人气: - 评论: 0
问题 该病人突发胸部疼痛,进行性呼吸困难,行X线片检查,提示右下肺病变,急诊CT平扫加增强,如图所示,则 ( )
选项 A.X线片示右下肺实变影 B.SCT增强扫描示右侧肺动脉主干完全性充盈缺损 C.右肺动脉开口处见不规则软组织密度影 D.考虑为右侧肺动脉(中央性)栓塞 E.考虑为右侧肺癌
答案 ABCD
解析

猜你喜欢

发表评论
更多 网友评论0 条评论)
暂无评论

访问排行

Copyright © 2012-2014 恰考网 Inc. 保留所有权利。 Powered by tikuer.com

页面耗时0.0480秒, 内存占用1.03 MB, Cache:redis,访问数据库19次