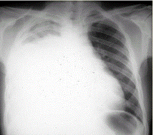
患者男,34岁。进行性胸闷、气促1个月余,伴有干咳、右胸隐痛以及消瘦,无咯血、发热、盗汗、潮热等。(提示 胸部X线检查如图所示)根据胸腔穿刺结...

作者: rantiku 人气: - 评论: 0
问题 患者男,34岁。进行性胸闷、气促1个月余,伴有干咳、右胸隐痛以及消瘦,无咯血、发热、盗汗、潮热等。 (提示 胸部X线检查如图所示) 根据胸腔穿刺结果,患者胸腔积液的性质和病因最可能是(提示 患者诊断性胸腔穿刺结果:胸腔积液呈淡红色,细胞数600×10/L,单核细胞65%,蛋白32 g/L,葡萄糖1.8 mmol/L,LDH 550 U/L,ADA 18 U/L,CEA 125 μg/L。)
选项 A.漏出性胸腔积液 B.渗出性胸腔积液 C.低蛋白血症所致胸腔积液 D.结核性胸腔积液 E.恶性胸腔积液 F.类肺炎性胸腔积液
答案 BE
解析 BE

猜你喜欢

发表评论
更多 网友评论0 条评论)
暂无评论

访问排行

Copyright © 2012-2014 恰考网 Inc. 保留所有权利。 Powered by tikuer.com

页面耗时0.0630秒, 内存占用1.03 MB, Cache:redis,访问数据库20次