病历摘要: 患者女性,83岁,活动后气促10天,伴心悸、咳嗽,咳少许白粘痰,感左侧胸痛,呈压榨样,与呼吸有关,但无放射痛,并发热,体温最高37.9℃,无明...

作者: rantiku 人气: - 评论: 0
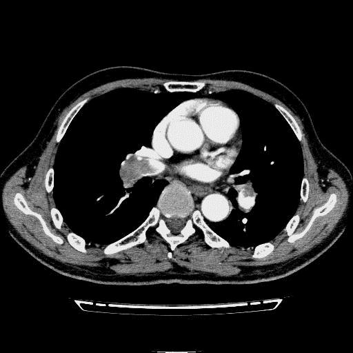
问题 病历摘要: 患者女性,83岁,活动后气促10天,伴心悸、咳嗽,咳少许白粘痰,感左侧胸痛,呈压榨样,与呼吸有关,但无放射痛,并发热,体温最高37.9℃,无明显规律性,无咯血、畏寒等。既往有系统性红斑狼疮病史,有吸烟史20年,已经戒烟20年。1月前始自觉双下肢易疲劳,但活动不受限。体查:T37.7℃,左肺可闻及啸鸣音和少许细湿啰音,心率123bpm,律齐,P2>A2,未闻及杂音。双下肢无水肿。 该病例最可能的诊断是哪种疾病? 提示:胸部 CT平扫+增强见图
选项 A.细菌性肺炎 B.肺癌 C.支气管扩张 D.肺结核并感染 E.主动脉夹层 F.肺动脉高压 G.肺血栓栓塞症
答案 G
解析 G

猜你喜欢

发表评论
更多 网友评论0 条评论)
暂无评论

访问排行

Copyright © 2012-2014 恰考网 Inc. 保留所有权利。 Powered by tikuer.com

页面耗时0.0407秒, 内存占用1.03 MB, Cache:redis,访问数据库20次