病历摘要: 患者女性,83岁,活动后气促10天,伴心悸、咳嗽,咳少许白粘痰,感左侧胸痛,呈压榨样,与呼吸有关,但无放射痛,并发热,体温最高37.9℃,无明...

作者: rantiku 人气: - 评论: 0
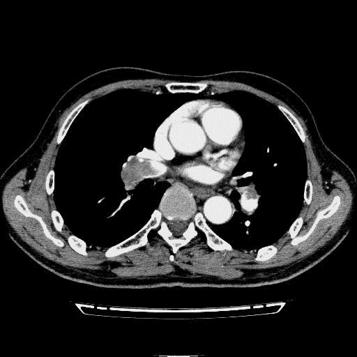
问题 病历摘要: 患者女性,83岁,活动后气促10天,伴心悸、咳嗽,咳少许白粘痰,感左侧胸痛,呈压榨样,与呼吸有关,但无放射痛,并发热,体温最高37.9℃,无明显规律性,无咯血、畏寒等。既往有系统性红斑狼疮病史,有吸烟史20年,已经戒烟20年。1月前始自觉双下肢易疲劳,但活动不受限。体查:T37.7℃,左肺可闻及啸鸣音和少许细湿啰音,心率123bpm,律齐,P2>A2,未闻及杂音。双下肢无水肿。 急性巨块型肺栓塞的诊断标准有哪些?
选项 A.体循环动脉血压<90mmHg,或较基础血压植下降幅度≧40mmHg,持续15min以上 B.二个或二个以上叶肺肺动脉完全栓塞 C.主肺动脉干栓塞50%以上 D.除外新发生的心律失常、低血容量或感染中毒症所致的血压下降 E.二个或二个以上段肺动脉完全栓塞 F.超声心动图见右心室运动功能减弱
答案 AD
解析 AD

猜你喜欢

发表评论
更多 网友评论0 条评论)
暂无评论

访问排行

Copyright © 2012-2014 恰考网 Inc. 保留所有权利。 Powered by tikuer.com

页面耗时0.0334秒, 内存占用1.03 MB, Cache:redis,访问数据库13次